名古屋院
/アネックス院
目元
鼻
輪郭・小顔
若返り
ヒアルロン酸注入
ボトックス注射
糸リフト・フェイスリフト
痩身・部分痩せ・脂肪吸引
美容皮膚科(レーザー・美容医療機器等)
【レーザー・美容医療機器等】
【注入治療】
わきが・多汗症
タトゥー・刺青除去
豊胸・バスト
婦人科形成
脱毛
その他
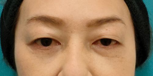
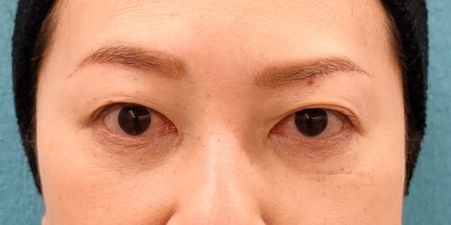
眉毛下切開法・重瞼ライン切開法


医師・看護師高橋 祐介
施術のリスク/副作用
出血・血腫、感染・化膿、アレルギー・アナフィラキシー、ドライアイ、仕上がりの左右差、釣り目感、不自然なしわ、引きつれ感等。
施術の総額費用(税込)297,000円
二重埋没法・切開法


医師・看護師村山 未佳
施術のリスク/副作用
皮下出血、感染、しこり形成、埋没縫合糸の露出、仕上がりの左右差、まぶたの違和感、眼球の異物感等。
施術の総額費用(税込)スーパープレミアム埋没法3点留め 160,600円
糸リフト


医師・看護師村山 未佳
施術のリスク/副作用
出血・血腫、感染・化膿、アレルギー・アナフィラキシー、仕上がりの左右差、皮膚のツッパリ感、一時的に口が開けにくい等
施術の総額費用(税込)VOVコグ PDO
12本 237,600円
脂肪注入(顔)


医師・看護師理事長
竹内 孝基 医師
施術のリスク/副作用
皮下出血、感染、(使用する薬剤に対する)アレルギー、脂肪の定着が悪い、塞栓症、仕上がりの左右差、凹凸、肉芽腫形成等。
施術の総額費用(税込)脂肪採取及びCRF作製料 220,000円
目の下(クマ)110,000円
こめかみ 110,000円
ゴルゴ線 88,000円
脱脂CRF法


医師・看護師理事長
竹内 孝基 医師
施術のリスク/副作用
出血・血腫、感染・化膿、アレルギー・アナフィラキシー、しわが増えたと感じる、注入脂肪の過剰な吸収、仕上がりの左右差、膨らみが残る、へこみができる、ドライアイなど。
施術の総額費用(税込)下瞼脱脂法+マイクロCRF注入
495,000円
経結膜ハムラ法・皮切ハムラ法


医師・看護師理事長
竹内 孝基 医師
施術のリスク/副作用
出血・血腫、感染・化膿、アレルギー・アナフィラキシー、しわが増えたと感じる、仕上がりの左右差、膨らみが残る、へこみができる、外反、ドライアイなど。
施術の総額費用(税込)440,000円
たるみ治療


施術のリスク/副作用
赤み、ほてり、むくみ、硬結、軽度熱傷等。
施術の総額費用(税込)99,000円(3回 モニター料金)
二重埋没法・切開法


医師・看護師高橋 祐介
施術のリスク/副作用
皮下出血、感染、しこり形成、埋没縫合糸の露出、仕上がりの左右差、まぶたの違和感、眼球の異物感等。
施術のリスク/副作用
出血・皮下出血、感染・化膿、アレルギー・アナフィラキシー、低矯正・過矯正、左右差、皮膚壊死、肥厚性瘢痕、傷跡が目立つなど。
施術の総額費用(税込)スーパープレミアム埋没法3点留め
モニター 112,420円
シミ治療


施術のリスク/副作用
色素沈着、色素脱失、水疱形成等
施術の総額費用(税込)顔全体
1回 38,500円
5回 173,250円


施術のリスク/副作用
皮下出血、感染・化膿、毛嚢炎、ざ瘡、肌荒れ、炎症後色素沈着、遷延性の赤み、ヘルペス等。
施術の総額費用(税込)3回 279,180円
2026/04/16【GW休診日のお知らせ】
平素より当院をご利用いただきありがとうございます。
2026.5.3(日)~2026.5.6(水)休診日とさせていただきます。
皆様にはご不便をお掛けしますが宜しくお願い申し上げます。
2025/12/2【年末年始休診日のお知らせ】
平素より当院をご利用いただきありがとうございます。
2025.12.30(火)~2026.1.4(日) 休診日とさせていただきます。
皆様にはご不便をお掛けしますが宜しくお願い申し上げます。
2025/06/09医療DX推進に関して
当院では、診療報酬請求に対してオンライン請求を行っており、オンライン資格確認を行う体制を有しております。
また、医師が電子資格確認を利用して取得した診療情報を閲覧又は利用できる体制を整えております。
2024/12/26【年末年始休診日のお知らせ】
平素より当院をご利用いただきありがとうございます。
2024.12.31(火)~2025.1.5(日) 休診日とさせていただきます。
皆様にはご不便をお掛けしますが宜しくお願い申し上げます。
2024/09/30シミの消しゴム!リポットレーザーを導入いたしました。
強力なエネルギーを効率的に照射できるVSLS技術を採用しており、1回の施術でも高い効果を発揮します。
2024/05/24RF、HIFUに次ぐ次世代のたるみ・しわ治療機器「ソフウェーブ」を導入いたしました!
新技術SUPERB™(スパーブ)を用い、顔や首のしわ・たるみ、肌質改善を目的とした革新的な治療器です。
2024/04/26【GW休業のお知らせ】
平素より当院をご利用いただきありがとうございます。
2024.5.2(木)~2024.5.6(月) GW休業とさせていただきます。
なお、4/29(月・祝)は臨時診療しております。
皆様にはご不便をお掛けしますが宜しくお願い申し上げます。
2023/06/07最新RF治療器「ボルニューマー」導入予定です。
6月末を予定しています。
インスタグラム・LINE等で導入記念プランを配信予定です!
2023/04/21GW休業のお知らせ
【名古屋院】
2023.5.2(火)~2023.5.5(金)
皆様にはご不便をお掛けしますが宜しくお願い申し上げます。
2023/04/04マイナビニュース「名古屋の医療脱毛クリニックおすすめ14選! 全身・部位別料金が安いのは?」で、人気のクリニックとして当院が紹介されました。
2020/05/01医療アートメイク専門の予約ポータルサイト「アートメイクモア」にて、愛知で医療アートメイクが施術できるおすすめクリニックとして紹介されました。
2023/02/08大人気ニードルRF治療器ポテンツァを導入しました。
ニキビ、ニキビ跡、小じわ、毛穴の開きの改善など、お肌の様々な悩みにアプローチできます。
2023/01/16サイトリニューアルしました。
2023/01/142023年2月より水曜日も診療を行います。
皆様のご予約をお待ちしております。
2022/05/23名古屋院・アネックス院で初診カウンセリングのご予約をいただいている方は、名古屋院で受付させて頂きます。どの施術のご予約であっても、初診の方はまずは3F受付にお越し頂きますようお願い致します。
2022/03/18法改正による成人年齢引き下げに関しまして
2022年4月に成人年齢が18歳に引き下げられます。
18歳以上の方は親権者の同意なく一人で契約が出来るようになる一方で、契約したものは親権者が契約解除することが出来なくなるため
思わぬ消費者トラブルに巻き込まれる可能性があります。
当院ではお越し頂くすべての方に安心・安全に施術を受けて頂くために、以下のように対応を変更させて頂きます。
1.19歳以上の方
保護者の同意書なしてカウンセリング・施術を受けて頂けます。
モニターにも応募可能です。
2.18歳が保護者の同伴・同意書無しで受けて頂ける施術について
医療脱毛、二重埋没法、ミラドライのみとします。
3.18歳が応募できるモニターについて
医療脱毛、二重埋没法、ミラドライのみとします。
4.18歳以下で上記以外の施術を希望する場合
今まで通り、保護者の同伴・同意書が必要です。
ご理解の程よろしくお願い致します。
当院はしわ・たるみのお悩みをはじめ、エイジング治療に力を入れており、ヒアルロン酸やボトックスなど美容皮膚科側からと、目の下のクマ・眼瞼下垂やまぶたのたるみ等の形成外科的アプローチ、さらにピコレーザーやHIFUなどレーザー機器などお悩みに合わせて最適な治療方法をご提案いたします。
年間、カウンセリング・施術数が10,000件以上ございます。(2021年実績)
2010年から名古屋に開院し、美容医療10年以上の実績のある医療機関として女性・男性共に幅広い年代の多くの患者様に来院いただいております。2022年5月には、同じビルの6Fにアネックス院を開院し、より多くの方にご利用頂けるようになりました。
美容クリニックで他の人に見られたくないという方のために、他の患者様と会うことがないようにプライバシーに配慮した個室の待合と、リラックスして施術を受けていただけるよう広い施術室をご用意しております。
患者様それぞれのお悩みにお応えするために、豊富な施術メニューをご用意しております。お顔や身体のお悩み、ご希望のイメージなど、一人ひとりに合わせた治療をご提案致します。
経験豊富なドクターが女性のデリケートゾーンのお悩みや症状をお伺いし、患者様それぞれに合わせた最適な治療方法をご提案いたします。
不安な事や分からない事はドクター、看護師にご確認ください。ご納得いただけるまで、丁寧にお答えいたします。
[ 名古屋駅から徒歩5分 ]
美容外科と美容皮膚科まで、
大人のための総合美容をご提案します。
| 住所 | 〒450-0002 名古屋市中村区名駅4-10-25 名駅IMAIビル3F(名古屋院)・6F(アネックス院) ※初診カウンセリングご予約の方は3Fにお越しください。 |
|---|---|
| 診療時間 | 10:00~19:00 完全予約制 |
| 休診日 | 日・祝 |

名古屋院医師
| 慶応義塾大学医学部卒業 | |
| 慶応義塾大学院医学研究科博士課程(外科学)修了 | |
| 平成25年 | 帝京大学 医学部附属病院 助教 |
| 平成27年 | Memorial Sloan Kettering Cancer Center, Thoracic Service, VIsiting Researcher |
| 平成30年 | 神奈川県JA厚生連相模原協同病院 呼吸器外科 部長 |
| 平成31年 | 愛知県がんセンター 呼吸器外科医長 |
| 令和5年 | 東京慈恵会医科大学 外科学講座 講師 |
| 令和6年 | 医療法人一美会エースクリニック 勤務 |
日本美容外科学会/日本美容外科医師会/日本外科学会/日本呼吸器外科学会/日本胸部外科学会
日本外科学会外科認定外科専門医/日本呼吸器学会認定呼吸器専門医

名古屋院医師
| 平成26年 | 藤田保健衛生大学医学部卒業 |
|---|---|
| 平成26年 | 名古屋第二赤十字病院 初期研修医 |
| 平成28年 | 名古屋第二赤十字病院 外科 後期研修医 |
| 平成31年 | 藤田医科大学 小児外科 |
| 令和7年 | 医療法人一美会エースクリニック 勤務 |
日本美容外科学会/日本外科学会/日本小児外科学会/日本小児救急医学会/日本小児栄養消化器肝臓学会
日本外科学会認定外科専門医/日本小児外科学会小児外科専門医/ウルセラ認定医/ミラドライ認定医
日本化粧品検定 1級、2級

名古屋院医師
| 平成30年 | 信州大学医学部卒業 |
|---|---|
| 平成30年 | 名鉄病院 初期研修医 |
| 令和2年 | 名古屋大学医学部附属病院 皮膚科 |
| 令和3年 | 名古屋医療センター 皮膚科 |
| 令和8年 | 医療法人一美会エースクリニック 勤務 |
美容皮膚科学会/日本皮膚科学会
日本皮膚科学会認定皮膚科専門医/日本医師会認定産業医/

医療法人一美会理事長
| 平成9年 | 大阪大学医学部 卒業 大阪大学医学部附属病院 大阪府立病院 (現大阪府立急性期 ・総合医療センター) |
|---|---|
| 平成12年 | 大塚美容形成外科勤務 金沢院院長に就任 |
| 平成18年 | 大塚美容形成外科 名古屋院院長に就任 |
| 平成22年 | 医療法人一美会エースクリニック開設 |
| 令和3年 | 医療法人一美会エースクリニック大阪梅田院開院 |
| 令和4年 | 医療法人一美会エースクリニックアネックス院開院 |
| 令和6年 | 医療法人一美会エースクリニック大阪梅田HEPナビオ院開院 |
日本美容外科学会/日本再生医療学会/日本抗加齢医学会/日本レーザー医学会/日本眼形成再建外科学会
日本美容外科学会(JSAS)認定美容外科専門医
ウルセラ認定医/サーマクール認定医/ミラドライ認定医

| 診療時間 | 月 | 火 | 水 | 木 | 金 | 土 | 日 | 祝日 |
|---|---|---|---|---|---|---|---|---|
| 午前 10:00-12:00 | 高橋 村山 | 竹内 高橋 | 高橋 村山 | 竹内 村山 | 高橋 村山 | 竹内 高橋 村山 | 休診 | 休診 |
| 午後 13:00-19:00 | 高橋 村山 | 竹内 高橋 | 高橋 村山 | 竹内 村山 | 高橋 村山 | 高橋 村山 | 休診 | 休診 |
2010年に当クリニック開設して以来、大変有難いことに、地域の患者様からの絶大な支持を賜り、多くの方々が美容外科・美容皮膚科の施術を求めて足しげくリピートしてくださりました。お蔭様をもちまして、拡張移転を経て、今日の規模に至っております。移転後も、初診の方も含め、あらゆる年齢、性別の方々が、当院の施術に満足して下さり、患者数は年々増加しています。これも当院の診療が多くの方に支持された結果と考え、素直にとても嬉しく思います。
私たちのクリニックは、地域の皆様に末永く通っていただけるよう、エイジングケアを主体とした美容外科・美容皮膚科施術を提供することで、地域の皆様のさまざまなお悩みに対応してきました。「当院に通っていればほとんどの悩みは解決してもらえる」、そんなクリニックに育てて参りました。昔と比べ、美容クリニックの敷居は低くなったとは言え、特定の悩みごとに異なるクリニックを訪問するのは確かに大変です。信頼できるクリニックを探すのもそんなに簡単なことではないからです。シミの悩みにはここ、たるみの悩みにはあそこ、と言うように、悩みによってクリニックを探すのは骨の折れる作業です。その点、当院は美容外科から美容皮膚科に至るまで、手術も非手術も、様々なニーズに一貫して高度に対応できる診療を行っています。
私たちは、皆様が安心して美容のケアやエイジングケアを受けられる場所を提供し続けることをお約束します。どうぞ、安心して通っていただきたく思います。


| 住所 | 〒450-0002
名古屋市中村区名駅4-10-25 名駅IMAIビル3F(名古屋院)・6F(アネックス院) ※初診カウンセリングご予約の方は3Fにお越しください。 |
|---|---|
| 診療科目 | 美容外科、美容皮膚科、形成外科、皮膚科 |
| 診療時間 | 10:00~19:00 完全予約制 |
| 休診日 | 日・祝 |